• 24時間WEB予約
  • 電話でお問い合わせ
インプラント
インプラント

下顎崩壊
症例(2)

ブリッジ全体が動揺
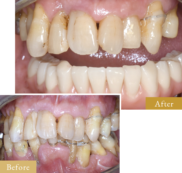
歯周病が進行していたケース2
歯周病が進行している下の歯を抜歯し、オールオン4で治療したケースです。

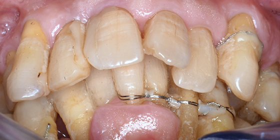
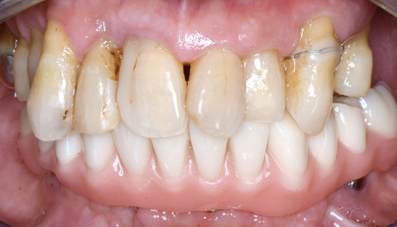
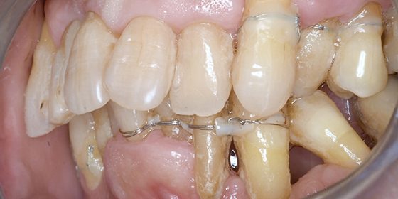
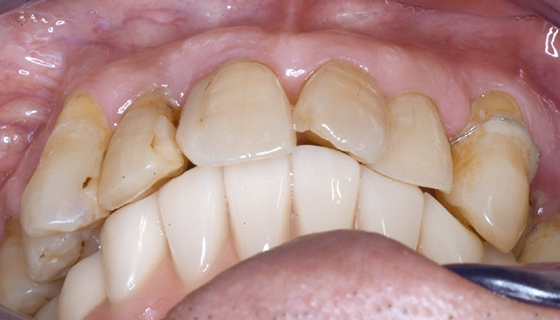
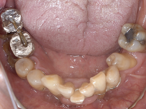
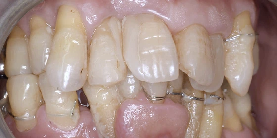
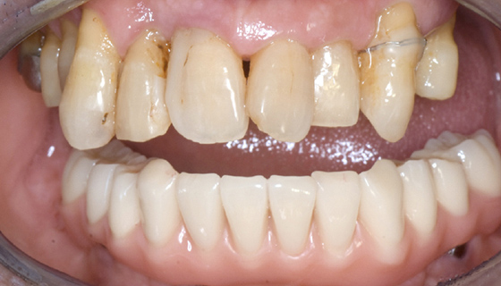
治療前

この症例では下顎の歯周病が特に進行していて、歯がクラグラで噛みにくい為、下の歯を抜歯してオールオン4で治療、上は特に歯周病が進行している左側の大臼歯を抜歯して経過観察することにしました。
治療前
  • 治療前
  • 治療前
  • 治療前
  • 治療前
  • 治療前
  • 治療前

治療前
治療前

治療内容

下の歯の抜歯後インプラント

上の歯の抜歯
上の歯の抜歯

手術当日に仮歯装着

  • 手術当日に仮歯装着
  • 治療前
  • 治療前
上の歯の抜歯

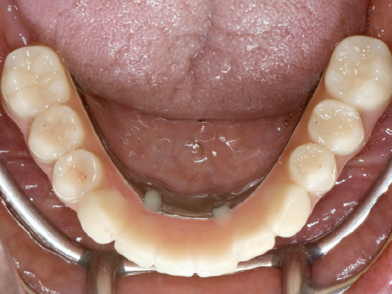
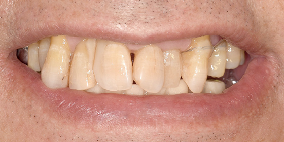
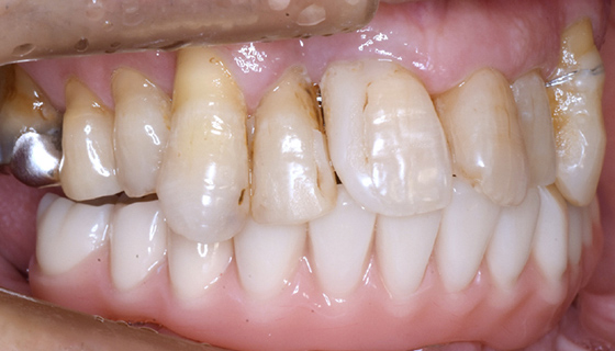
最終補綴物装着

下顎の歯がしっかりと固定され、きちんと噛めるようになりました。
仮歯装着
  • 最終補綴物装着
  • 最終補綴物装着
  • 最終補綴物装着
  • 最終補綴物装着
  • 最終補綴物装着
  • 最終補綴物装着
  • 最終補綴物装着
最終補綴物装着
最終補綴物装着
治療期間 約1年
費用 上顎 253万円 (税込)
  • リスク・副作用
  • 術後の出血、数日間の腫れ、疼痛、内出血によるアザが出る可能性
  • 外科的治療によるリスク
  • 十分なメンテナンスを行わなければ失敗やトラブルを招く可能性
  • サイナスリフトによる感染のリスク、治療期間の延長
  • インプラントが骨と結合しないリスク
  • 上顎の残した歯があまり持たないリスク
症例紹介
お電話でお問い合わせ
〒454-0838 名古屋市中川区太平通2丁目38
パントグラフビル
よくあるご質問