• 24時間WEB予約
  • 電話でお問い合わせ
インプラント
インプラント

咬合崩壊を起こした
症例(1)

ba
オールオン4で再建した症例
40代女性。歯科治療恐怖症で歯医者に通えず、噛み合わせが崩壊してしまい、オールオン4で再建した症例です。
来院された経緯
10年ほど前に他院にて歯周病で多くの歯を抜歯され、残った動揺している歯を樹脂で固定しました。その後歯科が怖くなり治療を中断してしまわれ、樹脂に汚れや歯石が溜まってしまった状態をどうにかしたい、ということで当院に来院されました。
治療内容
レントゲンを撮ると、ほとんどの歯が重度の歯周病で保存できない状態となってしまっていたので、抜歯して上下の顎をオールオン4で再建しました。
ba

患者様に合わせた治療ポイント

恐怖感の強い患者様に対して

恐怖感の強い患者様に対して
通常の治療法であれば、歯を抜いた後、骨の足りない上顎に骨を移植し、骨ができた後に半年待ってからインプラントをするのですが、歯科恐怖症の方にとって何度も手術を受けるのは非常に困難であるため、たった一日で抜歯からインプラントの埋め込み、仮歯の装着まで行うことができるオールオン4を選択しました。

リラックス麻酔を併用

リラックス麻酔を併用
患者様の恐怖感を和らげるために、静脈内鎮静法(リラックス麻酔)を施した状態で施術を行い、恐怖感のない状態で、1時間半程度で終了することができました。

シミュレーション手術を事前に

シミュレーション手術を事前に
この患者様は、骨が極端に少ないため、あらかじめ患者様の顎骨を再現した模型上でシミュレーション手術を3回行い、ベストな位置にインプラントを埋め込むことができました。

治療後の経過

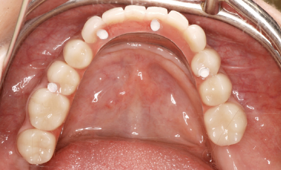
手術直後

手術直後
当院では手術当日に固定式の仮の歯を装着します。その後、半年間その仮歯で日常生活を送っていただき、経過をみていきます。インプラントと骨がしっかりと固定されたら、最終的な人工歯を入れていきます。

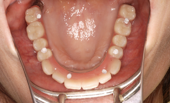
手術後半年経過

手術後半年経過
この患者様の場合、治療後半年後のレントゲン写真を見ると、骨とインプラントがしっかりと結合している様子が確認できたので、最終的な人工歯を装着しました。

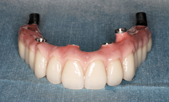
最終補綴物

  • 最終補綴物
  • 最終補綴物
  • 最終補綴物
  • 最終補綴物
  • 最終補綴物
  • 最終補綴物
人工歯はネジでインプラントに固定してありますので、万が一破損などの場合でも、専用のドライバーで外して修理が可能です。
オールオン4では、失われた歯茎も人工的に作りますので、お口の張りも回復させることができ、自然な美しい笑顔を作ることができます。
治療期間 約1年
費用 上顎 330万円 (税込)
下顎 253万円 (税込)
  • リスク・副作用
  • 術後の出血、数日間の腫れ、疼痛、内出血によるアザが出る可能性
  • 外科的治療によるリスク
  • 十分なメンテナンスを行わなければ失敗やトラブルを招く可能性
一般的に、オールオン4のリスクとして、骨移植をしなくても、長期の安定が得られるかどうか?ということが挙げられます。あまりにも骨が少ない場合には、ザイゴマインプラント(頬骨に行うインプラント)にするか、骨移植が必要になるケースもあります。ただし、骨移植をする場合、感染リスクが高くなり、慢性上顎洞炎のリスクは高くなります。
他のオールオン4のリスクとしては、人工歯肉の境目が見えてしまうということがあります。それを避けるために、事前に笑顔時に唇がどこまで上がるかを確認して手術を行い、必要に応じて骨の調整を行い、人工歯肉の縁が見えないようにしていきます。
症例紹介
お電話でお問い合わせ
〒454-0838 名古屋市中川区太平通2丁目38
パントグラフビル
よくあるご質問