• 24時間WEB予約
  • 電話でお問い合わせ
インプラント
インプラント

咬合崩壊を起こした
症例(2)

ba
短期間で治療できるオールオン4
30代男性。全ての歯が重度の歯周病で、グラグラの状態。長期の通院が難しいため、短期間で回数を少なく治療できるオールオン4を行った症例です。
来院された経緯
この男性は、歯科治療の形跡はあるものの、歯科恐怖症で歯が悪くても放置してしまい、歯周病も進行してしまったことで噛み合わせが崩壊してしまい、どうにもならない状態で来院されました。
治療内容
レントゲン写真を見ると、全ての歯が保存不可能な状態であったため、抜歯をし、上下の顎をオールオン4で再建しました。上顎を行った1ヶ月後に下顎の治療を行いました。
ba

患者様に合わせた治療ポイント

心身に負担が少ない治療

心身に負担が少ない治療
患者様は長期の通院が不可能で、かつ、歯科恐怖症であることから、一日で抜歯からインプラントの埋め込み、仮歯の装着ができるオールオン4を選択しました。オールオン4は、少ないインプラント本数で見た目や噛む機能の回復ができるので、心身への負担も最小限で行うことができます。

痛みや恐怖感のない状態で

痛みや恐怖感のない状態で
歯科恐怖症の患者様の不安や恐怖感を和らげるために、静脈内鎮静法(リラックス麻酔)を施した状態で施術を行い、恐怖感のないボーッとした状態のうちに固定式の仮歯を入れることができました。

自然な見た目を再現

歯茎がついている人工歯

歯茎がついている人工歯
患者様は歯周病で歯茎や骨がかなり痩せてしまっているため、通常のインプラントでは歯だけが長くなってしまい不自然になってしまいます。オールオン4にすることで、歯茎も再建し、自然な笑顔を再現できるようになります。

骨造成(サイナスリフト)

骨造成(サイナスリフト)
この方の場合、奥の骨が十分にないため、インプラントを埋める際に上顎洞に骨造成(サイナスリフト)を行い、骨がしっかりできてから奥の方に噛み合わせの負荷をかけるようにしました。

治療後の経過

上顎手術の1ヶ月後に下顎手術

上顎手術の1ヶ月後に下顎手術
上顎の手術の1ヶ月後に下顎の手術を行いました。いずれも手術当日に固定式の仮歯を装着しました。

その半年後

その半年後
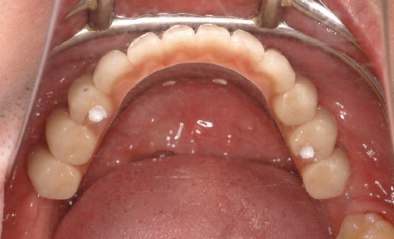
その後半年待ち、インプラントと骨がしっかりと結合したのちに最終的な人工歯を装着します。写真のように、バランスの取れた自然な清潔感あふれる笑顔が実現しました。

4年経過

  • 4年経過
  • 4年経過
  • 4年経過
  • 4年経過
  • 4年経過
最終的な人工歯を入れてから4年経った状態のレントゲンを見ると、インプラントも骨も安定した状態を保ち続けていることがわかります。
治療期間 約半年
費用 上顎 396万円 (税込)
下顎 253万円 (税込)
  • リスク・副作用
  • 術後の出血、数日間の腫れ、疼痛、内出血によるアザが出る可能性
  • 外科的治療によるリスク
  • 十分なメンテナンスを行わなければ失敗やトラブルを招く可能性
  • サイナスリフト(骨造成)に伴う感染のリスク
症例紹介
お電話でお問い合わせ
〒454-0838 名古屋市中川区太平通2丁目38
パントグラフビル
よくあるご質問